CURRICULUM
- Ortodontista Clínico há mais de 15 anos.
- Especialista, Mestre e Doutor em Ortodontia – UNESP Araraquara.
- Professor do curso de Especialização em Ortodontia do Núcleo Pós-graduação.
- Coordenador Científico da Academia da Ortodontia Contemporânea.
- Presidente da ABOR/BA (Associação Brasileira de Ortodontia 2022-2024)
- Colunista da Revista Ortodontia SPO.
- Revisor científico da Dental Press Journal of Orthodontics, Progress in Orthodontics e Revista Clínica de Ortodontia DentalPress.
- Autor de diversos artigos nacionais e internacionais.
- Credenciado em diversos sistemas de alinhadores há mais de 10 anos, como Clear Aligner (Scheu), Essix Clear Aligner (Dentisply), Invisalign (Align Technology) e Clear Correct (Straumann).
- Membro do Academy Committee da Align (Grupo de professores formado pela Align Technology).
- Palestrante Sobre o tema de Alinhadores em vários eventos Nacionais.
TRATAMENTOS ORTODÔNTICOS
ALINHADORES ORTODÔNTICOS E INVISALIGN
APARELHOS AUTOLIGADOS
APARELHOS ESTÉTICOS
APARELHO FIXO TRADICIONAL
CURSOS PARA ORTODONTISTAS
CURSO CLÍNICO DE ALINHADORES ORTODÔNTICOS
CURSO DE ALINHADORES IN OFFICE
CURSO INTERNACIONAL DE ALINHADORES
CURSO ORTODONTIA DIGITAL E ANCORAGEM ESQUELÉTICA
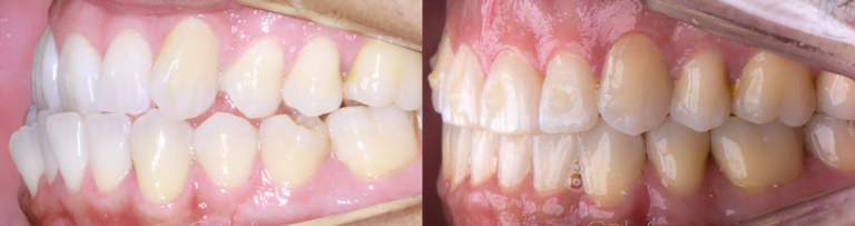
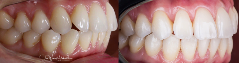
CASOS CLÍNICOS - ANTES E DEPOIS
Os casos clínicos apresentados foram autorizados pelos pacientes.
Os resultados visualizados são individuais de cada paciente e não devem ser utilizados como referência em tratamentos futuros.
CONHEÇA MEUS CURSOS
CONTEÚDO PARA VOCÊ
ENTRE EM CONTATO
Endereço
Av. ACM, Edf. Pierre Fauchard, Nº 585, salas 1001 e 1002 - Itaigara | Salvador/BA
+55 (71) 98643-1354
Telefone
+55 (71) 3231-5567
clinicashibasaki@gmail.com









